Le site est actuellement en maintenance. Pour faire un don, veuillez revenir plus tard.

Éradiquer la NF2 grâce à la thérapie génique

Un projet de Prénom Nom
Partager
Amassé
50%
Objectif

Soutenir ce projet

Contexte

NF2

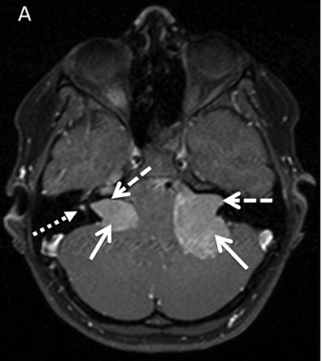
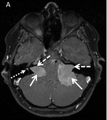
  • La neurofibromatose de type II (NF2) est une maladie génétique causée par un gène défectueux auquel il manque une protéine nécessaire pour combattre les tumeurs. La NF2 se caractérise généralement par le développement de tumeurs bilatérales le long des nerfs vestibulaires (nerfs de l’équilibre) et des nerfs auditifs. Ces tumeurs se situent juste au niveau du tronc cérébral et, par conséquent, à mesure qu’elles grossissent, elles portent atteinte aux nerfs voisins qui concernent de nombreuses fonctions corporelles. Les personnes atteintes de NF2 présentent fréquemment plusieurs tumeurs le long de leur colonne vertébrale ainsi que sur les nerfs situés derrière les yeux.
  • Une personne sur 30 000 est atteinte de NF2. Cinquante pour cent des cas sont héréditaires ; tous les enfants nés d’un parent touché par cette maladie ont une chance sur deux d’en hériter. Les autres cas sont le résultat de mutations spontanées.

Comment se manifeste cette maladie ?

Les tumeurs présentes sur les nerfs auditifs et de l’équilibre, connues sous le nom de schwannomes vestibulaires, entraînent généralement la surdité d’une oreille ou des deux. Les personnes atteintes de NF2 peuvent également souffrir de problèmes de déglutition, d’acouphènes pouvant s’avérer débilitants, de maux de tête et de nombreuses autres difficultés connexes. Les lésions produites sur les nerfs situés derrière les yeux peuvent provoquer des troubles de la vision ou la cécité. Les tumeurs situées le long de la moelle épinière sont à l’origine de graves problèmes de mobilité, comme un mauvais équilibre ou l’incapacité de marcher.

Traitements actuels

Parmi les traitements disponibles à l’heure actuelle figurent la chirurgie, la chimiothérapie et la radiation. L’expérience nous montre que les tumeurs reviennent souvent après une intervention chirurgicale. L’intervention elle-même (qui dure souvent 12 heures au minimum) présente de nombreux risques en plus de la paralysie faciale et d’autres problèmes. Il y a une limite à la dose de radiation que le tronc cérébral peut supporter et ce type de traitement est déconseillé aux enfants, car leur cerveau est encore en train de mûrir. Tous ces traitements sont conçus dans le but d’essayer de « maîtriser » ou de ralentir la croissance des tumeurs. Mais aucun d’eux ne s’attaque aux racines de la NF2.

Thérapie génique

  • L’objectif de la thérapie génique est de synthétiser la copie « correcte » du gène défectueux de la NF2 en laboratoire et de l’introduire dans le corps où le gène défectueux sera neutralisé et la copie saine prendra sa place, guérissant ainsi la maladie. Les personnes traitées sauront qu’à partir de ce moment-là, leur NF2 ne nuira plus à leur santé. Pouvez-vous imaginer ce que cela signifie pour un enfant récemment diagnostiqué ? Ce traitement changera des vies !
  • La thérapie génique approche maintenant de l’étape des essais cliniques pour des maladies telles que le DICS en ADA (également connu sous le nom de maladie des bébés-bulles), la granulomatose septique chronique qui réduit la capacité d’une personne à lutter contre des infections, l’hémophilie, l’amaurose congénitale de Leber, le cancer, le mésothéliome, la maladie de Parkinson et celle de Huntington. Comme il s’agit d’une maladie assez rare, la NF2 n’a pas attiré les ressources financières et l’expertise scientifique nécessaires pour trouver un remède.

Objectifs

  • Financer une étude préclinique pilote sur la thérapie génique contre la NF2 au Nationwide Children’s Hospital situé à Columbus dans l’Ohio, qui héberge en son sein l’un des meilleurs laboratoires de thérapie génique.
  • Financer des recherches effectuées dans le laboratoire du Dr Gary Brenner au Massachusetts General Hospital.
  • Rechercher d’autres laboratoires de thérapie génique prometteurs et financer des projets de recherche spécifiques.

Les résultats de ces recherches seront accessibles à tous.

KBF CANADA collabore avec NF2 BioSolutions sur ce projet scientifique. NF2 BioSolutions est une organisation bénévole caritative enregistrée aux États-Unis qui rassemble d’éminents neurologues, neurochirurgiens, généticiens et chercheurs afin d’examiner de quelles façons la thérapie génique peut guérir la NF2. Leur mission est d’identifier et de financer des approches de pointe en thérapie génique abordées lors du consortium qui s’est déroulé à Boston en mars 2019. Comme la NF2 est une maladie monogénique (causée par un seul gène défectueux), elle se prête idéalement à la thérapie génique.

Vos dons nous rapprocheront un peu plus de notre but : trouver un remède contre cette maladie et changer à tout jamais la vie des personnes qui en sont atteintes.

Le rôle de Myriad Canada est de mettre en œuvre des projets de bienfaisance à travers le globe en accord avec ses fins de bienfaisance. Nous contrôlons et suivons l’utilisation des fonds ainsi que les progrès des activités de bienfaisance afin de s’assurer que les dons faits à Myriad Canada aient un impact plus fort en accord avec les souhaits exprimés par les donateurs. En tant que membre de l’Alliance Myriad avec des bureaux au Canada, aux États-Unis, en Europe, en Asie et en Australie, Myriad Canada dispose d’un large réseau et d’une vaste expertise pratique.

Comment soutenir ce projet?

Par carte de crédit : En haut à droite de cette page, indiquez le montant que vous souhaitez donner, et effectuez le don en ligne par carte de crédit. Vous recevrez le reçu aux fins d’impôts immédiatement par courriel. Simple et rapide!

Pour les dons par chèques : 

  • Adressez le chèque à la Fondation Myriad Canada.
  • Note importante: Nous recevons beaucoup de chèques! Veuillez mentionner SVP  « G402 – Thérapie génique contre la NF2 » dans la section ‘Pour’ pour vous assurer qu’il est correctement attribué.
  • Envoyez votre chèque à: Fondation Myriad Canada, 1 Place Ville Marie, Suite 1670, Montréal, QC, H3B 2B6 – CANADA.

Pour les dépôts directs : 

Pour les instructions de transfert, veuillez envoyer un courriel ou appeler Caroline Chaulet: caroline@myriadcanada.org  ou +1-438-300-8122.

Pour les dons en titres :

Pour les dons mensuels :

  • Nous utilisons CanadaHelps. Vous pouvez trouver le lien ici.

Si vous avez besoin d’aide, n’hésitez pas à nous contacter.

Tous les dons donnent droit à un reçu aux fins d’impôts au Canada.

Les projets sont gérés avec le plus grand soin et professionnalisme.